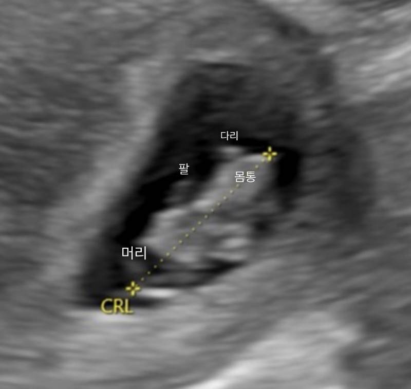
나 뱃속에 2센치짜리 아기있다 작성자 정보 신비한달15 작성 작성일 2026.04.15 13:00 컨텐츠 정보 80 조회 목록 답글 쓰기 본문 출처 https://www.instiz.net/name/66117114 63 너무.. 귀엽지....... 관련자료 이전 나영석 사단 제작진들은 방송 노출 엄청 하네요 작성일 2026.04.15 13:01 다음 갈수록 점점 커지는 목포 대왕돈까스집 작성일 2026.04.15 12:59 댓글 0 등록된 댓글이 없습니다. Select File Upload File 목록 답글 쓰기